The Daily Insight.

Connected.Informed.Engaged.

general

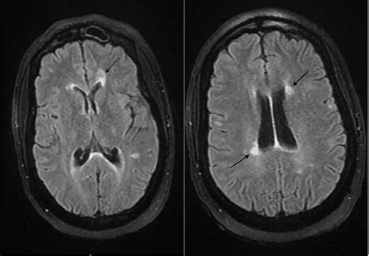
What is a demyelinating lesion?

By Grace Evans |

What is a demyelinating lesion?

A demyelinating disease is any condition that results in damage to the protective covering (myelin sheath) that surrounds nerve fibers in your brain, optic nerves and spinal cord. When the myelin sheath is damaged, nerve impulses slow or even stop, causing neurological problems.

What causes demyelinating?

Demyelination is often caused by inflammation that attacks and destroys myelin. Inflammation can occur in response to an infection, or it can attack the body as part of an autoimmune process. Toxins or infections can also harm myelin or may interfere with its production.

Does demyelination always mean MS?

What is demyelination, and what causes it? Demyelination occurs when myelin, which is the protective coating of nerve cells, sustains damage. When this happens, neurological problems can occur. Demyelination can result from various medical conditions, including multiple sclerosis (MS).

Does Covid cause demyelination?

One of the reported neurological complications of severe COVID-19 is the demolition of the myelin sheath. Indeed, the complex immunological dysfunction provides a substrate for the development of demyelination. Nevertheless, few published reports in the literature describe demyelination in subjects with COVID-19.

What is the treatment for demyelination?

Most treatments for demyelinating conditions reduce the immune response. Treatment involves using drugs like interferon beta-1a or glatiramer acetate. People with low vitamin D levels more easily develop MS or other demyelinating conditions. High levels of vitamin D may reduce inflammatory immune responses.

Can demyelination cause death?

Background. Common cause of death in demyelinating disorders such as Multiple sclerosis has been reported to be due to complications associated with the background illness. We report two patients who were being investigated for Multiple sclerosis and related disorders that had unexpected sudden deaths.

Can a virus cause demyelination?

A number of viruses can initiate central nervous system (CNS) diseases that include demyelination as a major feature of neuropathology.

Does demyelination go away?

There’s no cure for demyelinating conditions, but new myelin growth can occur in areas of damage. However, it’s often thinner and not as effective. Researchers are looking into ways to increase the body’s ability to grow new myelin. Most treatments for demyelinating conditions reduce the immune response.

What helps repair myelin?

Myelin is repaired or replaced by special cells in the brain called oligodendrocytes. These cells are made from a type of stem cell found in the brain, called oligodendrocyte precursor cells (OPCs).

Can chemo cause demyelination?

Neurotoxicity is a well-known side effect of both chemo and radiation therapy and share a common denominator: depletion of oligodendrocyte precursor cells and disruption of oligodendrocyte lineage dynamics leading to axonal demyelination, triggered by microglial activation and inflammation [1].

What is a dysmyelinating disorder?

Dysmyelinating disorders. Dysmyelinating disorders are a subset of white matter disorders characterised by abnormal myelination 1. They are also known by the term leukodystrophy and are composed of a group of inherited conditions that are characterised by a defective structure and function of the myelin sheath 2.

What causes demyelination of the eye?

Other causes. Other types of demyelinating disease and their causes include: Optic neuritis — inflammation of the optic nerve in one or both eyes. Neuromyelitis optica (Devic’s disease) — inflammation and demyelination of the central nervous system, especially of the optic nerve and spinal cord.

What are the different types of demyelinating diseases?

There are several demyelinating diseases: This is the most common demyelinating disorder. One in 500 people have it. It’s an autoimmune condition that attacks your brain, spinal cord, and optic nerve. There are four types, ranging from mild to severe. It’s more likely to affect women. It comes from genetic causes and things in your environment.

Where does demyelination occur in multiple sclerosis (MS)?

In MS, demyelination occurs in the white matter of the brain and in the spinal cord. Lesions or “plaques” then form where myelin is under attack by the immune system. Many of these plaques (or scar tissue) occur throughout the brain over the course of years.